The Laser Skin Center

AEROLASE TREATMENT

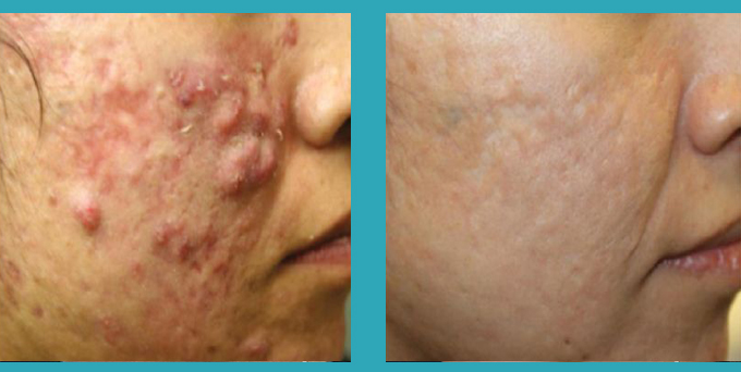
Advanced Treatment of Acne

Our Aerolase Treatment using NeoClear offers a new approach for highly effective, long-term effects with low recurrence rates for treating active acne including problematic conditions.

The highly powerful yet gentle laser light superheats the p. acnes bacteria in the sebaceous gland and surrounding skin to effectively destroy the bacteria, reduce oil and sebum output and to help reduce any swelling or inflammation. Due to this, most patients report less irritation and drier skin directly after treatment as opposed to a common waiting period for oral medications to adjust the body’s chemistry. This offers patients immediate relief, which is highly important for patients with severe cases of acne. Many patients have seen significant clearance with just a few treatments.




Mechanism of Action for Acne Clearance with 650-Microsecond Laser Technology